How To Prevent Lung Collapse – Medically reviewed by Adithya Cattamanchi, M.D., Pulmonology — By MaryAnn De Pietro, CRT — Updated July 21, 2023
A punctured lung means air escapes from the lung into the space between it and the chest wall. This disease can cause the lung to collapse, making it difficult to breathe. Recovery time may vary.
How To Prevent Lung Collapse
For a person to understand how a perforated lung occurs, it is helpful to learn about the anatomy of the lung.
Physiological Benefits Of Lung Recruitment In The Semi Lateral Position After Laparoscopic Surgery: A Randomized Controlled Study
There are two layers of protective tissue called the visceral and parietal pleura that surround the lung. The space between the two layers is called the pleural cavity or pleural space.
The size of a pneumothorax can vary, with only a small part of the lung collapsing in some cases.
A punctured lung can occur following a violent injury, such as a knife wound or gunshot wound to the chest.
Symptoms of a punctured lung can vary. Usually, the larger the part of the lung that has collapsed, the more severe the symptoms.
An Inside Look At Covid’s Lasting Damage To The Lungs
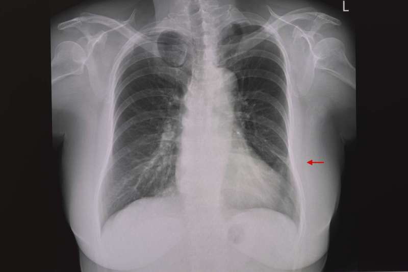
Signs of a punctured lung can also be seen on a chest x-ray, where black areas of air will be visible between the lung and the chest wall.
The treatment needed depends on the severity of the illness and the problems the person is experiencing.
In cases where only a small part of the lung has collapsed and the pneumothorax is considered limited, treatment may not be necessary. Excess air in the pleural space is reabsorbed and the lung expands again without assistance.
If no treatment is needed, the doctor will usually monitor the lungs with repeat chest X-rays to make sure the problem is resolved.
Pneumothorax: Symptoms, Causes, Diagnosis, And Treatment
Some people whose oxygen levels have decreased due to a punctured lung may need supplemental oxygen until their lung is fully expanded.
When there are symptoms, such as shortness of breath or collapse of a large part of the lung, treatment is necessary.
The most common and effective way to treat a punctured lung is to insert a chest tube or hollow needle.
For this procedure, the doctor inserts a hollow needle or chest tube into the pleural space to let air out. A syringe is attached to the needle to remove excess air from the space.
Acute Respiratory Failure: Causes, Symptoms, And Prevention
A chest tube is made of plastic and is inserted into the body, like a needle, to remove air. The chest tube may be connected to a suction machine to remove excess air from the pleural cavity.
If a large part of the lung has collapsed, the chest tube may need to remain in place for a few days.
As air escapes, the pressure on the lungs decreases and the lung tissue can expand again.
Additional procedures may be needed if all the air cannot be removed or if more air enters the pleural space.
Imaging Atelectrauma In Ventilator Induced Lung Injury Using 4d X Ray Microscopy
The time it takes to recover from a punctured lung varies. Recovery time is determined by the extent of the pneumothorax and the treatment needed. Typically, recovery will take a few weeks.
People recovering from a punctured lung may be asked to do breathing exercises to help the lungs fully expand.
It is best to consult a doctor to determine the frequency and duration of breathing exercises.
The prognosis for a person with a punctured lung usually depends on the cause, but treatment is usually effective. Once a punctured lung heals, it usually causes no adverse health effects.
Down But Not Out, A Collapsed Lung Won’t Stop Local Athlete
Because some lung perforations occur spontaneously without a specific cause, it can be difficult to prevent this condition in all cases.
But smoking can increase the risk of recurrence in a person who has already had a pneumothorax. A little
Medical News Today has strict sourcing guidelines and relies only on peer-reviewed studies, academic research institutions, and medical journals and associations. We avoid using third-party references. We link to primary sources (including studies, scientific references and statistics) in each article and also list them in the resources section at the bottom of our articles. You can learn more about how we ensure our content is accurate and up-to-date by reading our editorial policy. Atelectasis occurs when the lung sacs (alveoli) fail to inflate properly, meaning the blood, tissues, and organs may not receive oxygen. This can be caused by pressure outside the lung, blockage, poor airflow, or scarring. The most common cause of atelectasis is surgery under anesthesia. Atelectasis usually resolves after treating the underlying cause.
Atelectasis may be compressive, reabsorbent/obstructive, or contractional. Compressive atelectasis occurs when fluid, air, blood, or a tumor presses on the alveoli from the outside. Resorption atelectasis occurs when no new air can enter the alveoli (for example, there is a blockage). Contractional atelectasis is the result of pulmonary scarring.
Pneumothorax: What Is It?
Atelectasis (pronounced at-uh-LEK-tuh-sis) is the collapse of one or more parts of the lung. It specifically affects the small air sacs called alveoli.
When you breathe in, your lungs fill with air. Air moves to the bags in the lungs (alveoli), where oxygen passes into the blood. Blood provides oxygen to organs and tissues throughout the body.
If there is not enough air to inflate the alveoli, or if external pressure is exerted on them, they may collapse (atelectasis). Atelectasis can occur in a small area or throughout the lung. If your lungs are affected enough, your blood may not receive enough oxygen, which can lead to health problems.
Atelectasis is a condition in which the alveoli of the lung or part of the lung deflate, causing partial or complete collapse of the lung. Pneumothorax is a condition in which air enters the space around the lung, compressing it and causing it to collapse.
Mechanical Ventilation In Acute Lung Injury
If you have not recently had thoracic or abdominal surgery, atelectasis may indicate airway obstruction causing partial or complete lung collapse.
Cleveland Clinic is a nonprofit academic medical center. Advertising on our site helps support our mission. We do not endorse any non-Cleveland Clinic products or services. policy
Compressive atelectasis occurs when something around your lung, such as fluid, air, blood, or a tumor, pushes against it, causing it to collapse.
Reabsorptive atelectasis occurs when oxygen and carbon dioxide from the alveoli enter the bloodstream and no new air enters. This causes your alveoli to collapse. Surgery requiring anesthesia is a common cause of resorptive atelectasis.
Vent Compact Chest Seal Medical Chest Seal Emergency Vent Chest Seal Vent Chest Patch 16x16cm 4 Holes
Something that blocks the inside of the lung, preventing air from entering the alveoli, can also cause resorptive atelectasis. Also called obstructive atelectasis, the blockage may be due to mucus, a tumor, or something you accidentally inhaled.
Newborns, especially premature babies, or people with acute respiratory distress syndrome (ARDS) may have a rare type of atelectasis called irregular atelectasis. Irregular atelectasis occurs when you don’t have enough protein in your lungs to keep them from collapsing (surfactant).
Other types of atelectasis (bibasilar atelectasis, rounded atelectasis, gravity-dependent atelectasis, and subsegmental atelectasis) describe the location, appearance, or severity of collapse.
Atelectasis often causes no symptoms on its own, although some underlying conditions leading to atelectasis (such as COPD) can cause symptoms.
Non Expandable Lung: An Underappreciated Cause Of Post Thoracentesis Basilar Pneumothorax
If atelectasis affects large areas of the lungs, the level of oxygen in the blood may drop (hypoxemia). This can lead to symptoms such as:
Surgery is the most common cause of atelectasis. When anesthesia is used during surgery to keep you asleep, you do not breathe deeply enough to completely fill your lungs or cough to clear mucus from your lungs. This can lead to blockages or lack of air in the alveoli, causing resorptive atelectasis.
Chest x-rays (pictures of your lungs) are the first step in diagnosing atelectasis. Your doctor may use a computed tomography (CT) scan to get more detailed images if necessary.
In some cases, your doctor may look inside your lungs using a small camera attached to a tube placed in your throat (bronchoscopy). Blockages can be cleared during bronchoscopy.
Interstitial Lung Disease: Stages, Symptoms & Treatment
Most of the time, atelectasis is reversible once the cause is treated. Most people recover quickly and experience no serious or lasting effects. In people with long-term (chronic) disease, additional treatment may be needed to manage the underlying cause of atelectasis.
The best way to take care of yourself is to follow your doctor’s recommendations for care after surgery. Be sure to manage any underlying conditions that may increase the risk of atelectasis.
If you have recently had surgery or have an underlying condition and are experiencing new or concerning symptoms, contact your doctor immediately.
Your lungs are a complex and important organ. They need air and oxygen for their tissues and organs to function properly. Atelectasis can occur when part of this system is not working as expected. Fortunately, although a “collapsed lung” – even partial – seems scary, in most cases atelectasis is not life-threatening. A pneumothorax occurs when air escapes from the lungs. This page contains information about pneumothorax in adults.
Post Operative Atelectasis
A pneumothorax is a collapsed lung. A pneumothorax occurs when air enters the pleural cavity. It is the space between the outside of the lung and the rib cage. A small pneumothorax can
How to prevent a lung collapse, how to prevent getting lung cancer, how to prevent lung infection, what can you do to prevent lung cancer, how to prevent lung cancer, foods to prevent lung cancer, ways to prevent lung cancer, how does your lung collapse, how to prevent lung disease, best foods to prevent lung cancer, how to collapse a lung, how to prevent lung cancer after quitting smoking
